Patient Smile Gallery


Connie


Connie presented with a history of metal ceramic crowns and veneers placed to mask tetracycline stains at a very young age. She always associated pain and suffering with the dentist and always covered her smile with her hand. Through a combination of all-ceramic restorations and conservative periodontal treatment, we restored her naturally beautiful smile. She loves her new smile and looks forward to continued success as a fire-rescue paramedic.


Viktoria


Viktoria had suffered with greatly worn and chipped teeth throughout her life that became shorter and shorter. Through laminate veneers, Viktoria's smile was restored to a natural and youthful appearance.
Bonnie


Over the years, Bonnie had severely worn her teeth through habitual grinding. Porcelain laminate veneers have given her the smile of her dreams. She looks years younger and can smile with full confidence.


Charles


Charles is a young, handsome, and well liked in our office. His upper front teeth were chipped and then restored with plastic composite fillings early in his life. With dental veneers, his teeth were restored to a natural length and width more proportional to his face.


Kathleen


An attractive and outgoing lady, Kathleen's discolored and gummy smile was detracting from her appearance. Discolored, disproportional teeth tend to make us look older and less attractive. With the extensive restorative care, minor orthodontic movement, and gum contouring she has enjoyed her beautiful new smile. Kathleen experienced an amazing career boost, a direct reflection of her renewed confidence.
Luis


Luis, a retired businessman, had old, metal-based crowns and bridges that had become unsightly. He wanted his smile to reflect his inner spirit, enthusiasm, energy, and passion for life. Through full mouth reconstruction with zirconia all ceramic restorations, Luis's natural and youthful appearance was restored. His new bite also corrected his previous jaw position, which contributed to the wear.


Diana


Diana is a very pretty lady who is finishing college and entering a new career, but the unsightly facial wear and shortening of her teeth detracted from her beauty. With a combination of veneers and teeth whitening, she now has a gorgeous smile that she is proud to show off. Her amazing natural look will boost her confidence and help her to excel in the future!


Isabelle


Isabelle is a beautiful lady who was very self conscious of her smile. She suffered from long-term malocclusion and excessive wear of her teeth. Isabelle chose orthodontics and reconstruction with all-ceramic crowns to correct her bite and re-shape her smile. Wow, what a change in her appearance!


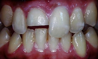
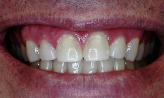
Lilian


Lilian is a lovely lady who had lived with worn, citrus-eroded teeth she did not like. Computer imaging gave her a glimpse of what type of smile was possible. Seeing her smile in advance helped Lilian make the decision to proceed. The after photo shows an amazing smile transformation, one that Lilian will cherish the rest of her life.
Julia


Julia was suffering from long-term gum problems and old, worn metal-supported restorations. She had no idea anything could be done to improve her health and give her a beautiful smile. With implants and color creative porcelain, we were able to rejuvenate Julia's natural appearance. She is the real deal!


Ken


Ken is a very nice man who presented with crooked and malopposed teeth. He needed to have his natural teeth replaced with special bone level dental implants. Ken now enjoys his new smile and can properly chew his food. One added benefit--Ken's blood sugar is now regulated due to the elimination of toxic bacteria and his ability to properly clean his teeth.


Joan


Joan had many concerns with her teeth, but was mainly concerned with her overall oral health. Not only did she want her teeth to last, but wanted them whiter and straighter. Using all porcelain crowns, we created a beautiful smile that Joan is excited to show. It is a perfect fit to match her dynamic personality.


Jim


A very successful businessman, Jim had become self-conscious about his smile. His teeth were crooked, misshaped, and very discolored. Six weeks of minor tooth movement, along with porcelain restorations, rewarded Jim with the smile of his dreams.


Donna


Donna, a beautiful model/naturalist, wanted her smile enhanced. With all ceramic crowns and teeth whitening, she feels and looks younger. In just three visits, she finally has that photographic smile she always dreamed of having.


Jean


For many years, Jean had concerns with the appearance of her teeth. They presented with uneven colors, shapes, and sizes. She knew that she could not endure three years of orthodontics and instead chose all-ceramic restoration. An instant transformation, the restoration also corrected the discolored and misshaped teeth that orthodontics could not address. She loves her new cosmetic change!
Hannie


Hannie had many concerns with health of her smile. She chose implants to improve her smile and did not want to wear a denture. Within two months, her smile went from an unnatural distraction to a beautiful look. Hannie now feels younger and is no longer self-conscious of her teeth.


Mary


Mary's request was to have a naturally beautiful smile. She had undergone a lot of 'patchwork' dentistry, which left her teeth weak and unsightly. Although extensive restorative care was required, she never regretted it for a moment. Not only has she enjoyed her new beautiful smile, Mary has been free from the need of continual repairs.
Curtis


Curtis's smile had a variety of old restorations, including discolored plastic composite fillings, that had become unsightly. Being in the public eye, he wanted his smile to reflect his inner spirit and zest. With veneers, all-porcelain crowns, and bonding Curtis obtained a brand new smile that he can be proud of for the rest of his life.
Claudia


As such a beautiful lady, Claudia's worn teeth were detracting from her appearance. Through cosmetic dentistry, including porcelain restorations, her smile was transformed. Now she has a smile in harmony with her inner and outer self.
Bridget


Bridget is a lovely lady who always felt self-conscious about her smile and its impact on how people viewed her. The edges of her teeth had worn and the surfaces discolored. With a combination of conservative teeth whitening and bonding, Bridget was able to have a beautifully enhanced smile and image with no tooth preparation.
Anita


Anita had no idea anything could be done to change her smile. The midline space between her teeth distracted from her natural beauty. Through cosmetic bonding, we closed the space and enhanced her appearance, as well as self-image.
Norm


Norm's old bridge was discolored and had decay. We created a new bridge, including the proper shape and creative color, to mimic nature.
Debbie


Debbie received a new implant tooth with a metal free post and porcelain crown. Our master ceramist created the mirror image of her adjacent tooth. What an amazing result!
Nelda


Nelda had always felt self-conscious of her smile and how people viewed her. As you can see from her photos, her upper teeth were totally transformed. Smiles are important!
Denise


Denise is a busy wife and mother who is thrilled with her new brighter smile. Denise had custom trays made for at home whitening--various concentrations of whitener are available to create the desired result. In office, chairside whitening is also an option at Dr. Cuomo’s office.
Joan


Joan had her old veneers replaced with new creative porcelain crowns. Her case included implants for the back teeth as well. Joan's teeth were lengthened and spaces closed to transform her upper teeth. She now smiles with more confidence and feels more youthful.
Kelvin


Kelvin is a college student who had a sudden traumatic injury to his front tooth. We were able to give back his smile by creating a ceramic crown that mimicked the characteristics of the adjacent teeth. Kelvin immediately regained his self confidence and will soon enter the corporate world.
Steve


Steve is a local singer/entertainer who wanted a brighter smile to accompany his beautiful voice. He first whitened his teeth at home using custom trays and then Dr. Cuomo did cosmetic bonding to his front anterior teeth. Steve has a lot to smile (and sing) about!




Above are photos of four different patients who had single tooth ceramic,"metal free" implant crowns placed. Spotting the implant-restored tooth isn't easy!




A retainer with built-in springs allows for minor tooth movement. The process takes about six to eight weeks.
Dan & Michael




Dan and Michael are brothers and real estate agents in the area and see prospective home buyers on a daily basis. They are both extremely proud to show off their new bright smiles. Custom-fitted trays were made for them, and they initially whitened for a couple of weeks on a daily basis. Now they whiten as needed to maintenance their whiter smiles.


Computer dental imaging is used to show patients what their smile could look like.


Computer dental imaging is used to show patients what their smile could look like.
